奈非那韋( nelfinavir) 是 HIV 蛋白酶的選擇 性、競爭性可逆抑制劑,廣泛用于艾滋病的治療。 目前研究表明,奈非那韋還可以誘導內質網應激、 自噬和細胞凋亡,延緩癌細胞生長,能夠抑 制 MM 細胞活性,與硼替佐米聯合用藥已用于 MM 臨床試驗。但是其抗 MM 作用靶蛋白 還不明確,作用機制尚未得到解析。
1 儀器與材料
CO2 細胞培養箱( 美國 Thermo 公司) ,冷凍 離心機( 美國 Thermo 公司) ,磁珠分離裝置( 上海 羧菲生物醫藥科技有限公司) ,小型高速離心機 ( 美國 Thermo 公司) ,超聲清洗儀( 昆山市超聲儀 器有限公司) ,旋轉培養器( 海林市其林貝爾儀器 制造有限公司) ,渦旋振蕩器( 海林市其林貝爾儀器制造有限公司) ,Q Exactive 質譜儀( 美國 Thermo Fisher 公司) ,電子天平( 梅特勒 托利多儀器 ( 上海) 有限公司) ,金屬浴( 杭州博日科技有限公 司) ,電泳設備( 美國 Bio-Rad( 伯樂) 公司) 。 MM. 1S 細胞( 美國模式培養物集存庫,American type culture collection,ATCC ) ,RPMI1640 培養基( 通用電氣醫療集團生命科學部,GE Healthcare Life Science) ,胎牛血清( 浙江天杭生 物科技有限公司) ,NP-40 裂解液( NP-40 LysisBuffer,上海阿拉丁生化科技股份有限公司) ,環 氧基磁珠( 日本 Tamagawa Seiki 公司,TAS8848 N1110) ,奈非那韋( 美國 Med Chem Express LLC 公司) ,銀染試劑盒( 北京索萊寶科技有限公司) , DMF ( N,N-dimethylformamide,N,N 二甲基甲酰 胺,上海阿拉丁生化科技股份有限公司) ,無水碳 酸鉀( 成都市科隆化學品有限公司) ,胰蛋白酶 ( 普洛麥格北京生物技術有限公司) 。
2 方法
2. 1 細胞培養和蛋白質提取
使用含胎牛血清體積分數為 10% 的胎牛血 清( fetal bovine serum,FBS) 的 RPMI-1640 培養 基,將 MM. 1S 細胞培養于體積分數為 5% 的 CO2 細胞培養箱( 37 ℃ ) 。待其長到對數生長期,取 4 × 107 個 MM. 1S 細 胞,加 NP-40 裂 解 液 裂 解 20 min,以離心力 12 000 × g 離心 15 min,留取上 清溶液,得到蛋白質裂解產物,參考已報道的研究方法,進行后續實驗。
2. 2 環氧基磁珠與奈非那韋偶聯
利用 DMF 溶解奈非那韋,與環氧基磁珠混 合,加入無水碳酸鉀( 作為催化劑,促進環氧基磁 珠和奈非那韋的羥基基團反應,形成化學鍵) ,奈 非那韋終濃度分別為 0、2、10、50 mmol·L - 1 ,在金 屬浴中充分反應 20 h( 60 ℃ ) ,使奈非那韋與帶有 環氧基端的磁珠偶聯,成為結合緊密的磁珠 配基 化合物。
2. 3 捕獲奈非那韋作用蛋白
將“2. 2 ”條 中 磁 珠 奈 非 那 韋 偶 聯 物 和 MM. 1S 細胞蛋白裂解物共孵育。在 旋 轉 器 上 ( 4 ℃ ) 孵育4 h。利用磁珠分離器分離磁珠,加入 100 mmol·L - 1 氯化鉀緩沖液清洗 3 次,最后用 1 × SDS-PAGE上樣緩沖液解離結合緊密的蛋白質。
2. 4 SDS-PAGE 電泳與銀染鑒定
將“2. 3”條中解離的蛋白質溶液進行 SDSPAGE 電泳( 恒電流30 mA) 。電泳結束后,對 PAGE 膠進行銀染分析: 先在固定液中固定30 min,然后加 入敏化液,室溫條件下作用 30 min; 再將敏化的 PAGE 膠浸沒在銀染液中,室溫震蕩搖晃 40 min, 確保 其 充 分 染 色。最后在顯色液 中顯色約 10 min,加入終止液,觀察條帶的分布情況。
2. 5 蛋白質質譜鑒定
取 0 mmol·L - 1 ( 空白磁珠結合蛋白) 和 50 mmol·L - 1 ( 50 mmol·L - 1 奈非那韋結合蛋白)的 PAGE 膠條,經過還原和烷基化處理后,加入胰 蛋白酶酶解 20 h( 37 ℃) 。酶解后用 C18柱子除鹽, 除鹽多肽凍干后用 Loading buffer( 含甲酸、乙腈) 溶解后,使用質譜儀對酶解后樣品進行鑒定,最后 采用 MASCOT 等質譜匹配軟件對數據進行分析, 獲得環氧基磁珠偶聯蛋白質的定性鑒定信息。
2. 6 生物信息學分析
通過 GO 數據庫和 KEGG 數據庫對奈非那 韋作用蛋白進行生物信息學分析: 采用 GO 功能 注釋,從生物學過程、細胞定位和分子功能 3 個方面,描述奈非那韋作用蛋白可能行使的分子 功能、細胞定位和參與的生物學過程。再將奈非 那韋作用蛋白代入 KEGG 數據庫,研究其可 能參與的代謝通路以及相關疾病信息。
3 結果
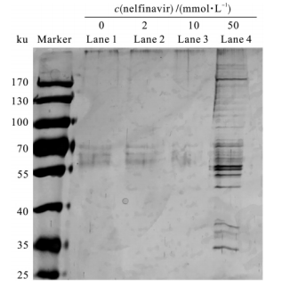
SDS-PAGE 電泳后,將 PAGE 膠進行銀染分 析,如圖1所示,相較于前3條泳道( 空白磁珠結合蛋白、2 mmol·L - 1 奈非那韋偶聯磁珠結合蛋 白、10 mmol·L - 1 奈非那韋偶聯磁珠結合蛋白) , 第 4 泳道( 50 mmol·L - 1 奈非那韋偶聯磁珠結合 蛋白) 可見明顯蛋白條帶。上述結果說明利用環 氧基磁珠偶聯奈非那韋,能捕獲該化合物特異作 用蛋白,提高了蛋白鑒定結果和生物信息學分析 的可信度。相比空白磁珠,奈非那韋捕獲的蛋白 更具有多樣性和特異性,同時提示: 后續蛋白質譜 鑒定分析應將空白磁珠測定數據作為本底予以 扣除。

4 討論
采用磁珠分離法捕獲奈非那 韋作用蛋白,相對于其他捕獲靶蛋白的方法,此方 法更簡單、高效、易于自動化。通過磁珠與藥物某 個特定基團反應,將藥物與磁珠偶聯,再與蛋白孵 育,捕獲藥物作用的靶蛋白。由于奈非那韋已在 MM 治療中突顯前景,本研究中,作者利用質譜技 術將環氧基磁珠 奈非那韋結合物捕獲的蛋白 ( 來源于 MM. 1S 細胞) 進行蛋白鑒定,根據可信 度篩選出 3 個與腫瘤活性相關的蛋白: L 乳酸脫 氫酶、RPS3 和 VDAC1。L 乳酸脫氫酶會促進癌 細胞的糖酵解過程,使葡萄糖轉化為乳酸鹽,為腫 瘤細胞的生長繁殖提供能量,血清中 L 乳酸脫氫 酶水平可以作為預測晚期癌癥患者生存時間的有 效指標; 研究結果顯示,RPS3 蛋白是惡性腫瘤 的指標,是重要的促腫瘤發生因子; 含量較高 的 VDAC1 作為代謝物轉運體參與了癌細胞的代 謝,其表達與癌細胞侵襲相關。據此推斷 L 乳酸脫氫酶、RPS3 和 VDAC1 可能與奈非那韋抗 MM 作用有關,為確定奈非那韋抗 MM 作用機制 提供理論依據。
免責聲明:文章僅供學習和交流,如涉及作品版權問題需要我方刪除,請聯系我們,我們會在第一時間進行處理。